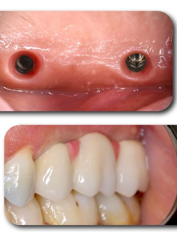
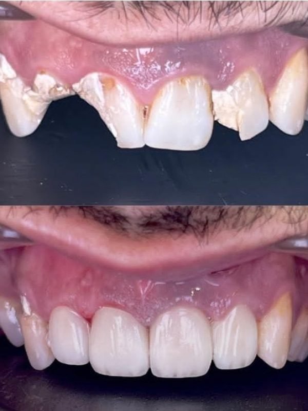
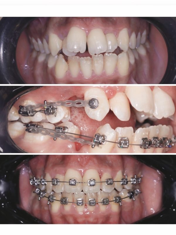
Nos Réalisations
Dentiste à Marrakech Clinic dispose d’un plateau technique moderne et performant. La qualité des soins et le respect des règles d’hygiène et d’asepsie sont ses points forts.
Réalisations
Voici nos réalisations dans le domaine dentaire, incluant le blanchiment dentaire avec des techniques avancées pour des sourires éclatants, l’orthodontie avec des solutions personnalisées pour un alignement parfait, et des soins dentaires complets assurant une santé bucco-dentaire optimale.
















